インプラント

JR「立川」駅北口より徒歩3分
24時間web予約

tel.042-512-7643

診療時間
  • 平日 9:30 ~ 12:30 / 13:30 ~ 18:00
  • 土曜 午後は17:00まで
  • ※休診日: 水・日・祝

キービジュアル

キービジュアル

2000本以上の実績

60代からの人生を、もっと美味しく、もっと笑顔で。
負担の少ない「シンプル・インプラント

笑顔のシニア夫婦

身体的・経済的な負担を最小限に抑える、
当院のインプラントが選ばれる5つの理由

  • 2000症例以上/専門医の院長が必ず担当
  • 切らない、縫わない、腫れない手術
  • 1~2本程度であれば「1時間」で手術終了
  • 光学スキャン活用で、治療期間を大幅短縮(最短1ヶ月)
  • 取扱いは世界シェアトップクラス「ストローマン/カムログ」

インプラントを迷われている方へ|費用・期間・年齢・恐怖心

インプラント治療を検討する際、多くの方が「高額な費用」「治療期間の長さ」「年齢的な不安」、そして「手術への不安」を抱えられています。

当院では、患者様が少しでも安心して治療の一歩を踏み出せるよう、これらの不安に正面からお答えし、寄り添う体制を整えています。

費用についての当院の考え方

当院のインプラント治療は、1本あたり40万〜60万円(骨造成等の追加処置により変動)を目安としております。決して安価ではありませんが、それは「一生安全に噛めるための品質と技術の適正価格」です。

安易な低価格治療による安全面での妥協は一切いたしません。無理なくお支払いいただける分割払い(デンタルローン)にも対応しておりますので、まずはご相談ください。

治療期間の不安に答える「短期集中治療」

オーラルスキャナ

インプラントは「終わるまでに何ヶ月もかかる」というイメージをお持ちではありませんか?

当院では、最新の「オーラルスキャナ(光学スキャン)」とデジタル技術を駆使することで、安全性と精度を高めながら、治療期間を大幅に短縮しています。

【一般的な医院】:約6ヶ月
【当院】:早いケースで1ヶ月

この短期集中治療により、「早くしっかり噛めるようになりたい」「何度も通院する負担を減らしたい」という患者様のご要望にお応えしています。

年齢についての不安(60代以上の方へ)

不安

「高齢だから無理かもしれない」と悩まれる方も多くいらっしゃいます。しかし、当院では60代・70代の患者様も多数治療を受けられております。

「切らない・縫わない」身体に優しいデジタル治療だからこそ、体力面への負担や持病のリスクを最小限に抑えることができるのです。

年齢を理由に諦めず、まずは一度お口の状態を見せてください。

手術への恐怖心が強い方へ「睡眠無痛治療」

音や振動が苦手な方向けに「2つの麻酔」をご提案しています。少し不安がある方には、鼻から吸うだけでリラックスできる「笑気麻酔」を。恐怖心が強い方には、うとうとと眠っている間に終わる「睡眠無痛治療(静脈内鎮静法)」をご用意しています。「気づいたら治療が終わっていた」と皆様おっしゃるほど、苦痛なく治療を終えることが可能です。

どうしても歯科治療が怖い、しかし噛めるようになりたい。そんな方でも安心して手術をお受けいただけます。

睡眠無痛治療

シンプル・インプラントの特徴|短期間で、痛みや腫れを抑えた治療

外科処置

インプラント治療は外科処置が伴います。ケースによっては大掛かりな処置になることもあります。

しかし、上記の場合であっても無駄を排除したシンプルな治療が可能です。当院では、患者様の体への負担を最小限に抑えつつ、最高の結果を出すために「シンプル・インプラント」を実践しています。

なぜ「シンプル」にこだわるのか

当院では、無駄を排除した「シンプル・インプラント」により、治療期間を短く、肉体的負担を抑えることができます。なぜこだわるのか。それは、インプラントの専門医であり、アメリカ最高峰の権威であるDr.ホーレワンとの出会いがあります。

  • 専門医
  • 専門医

彼から言われたのは、「患者さんが望んでいるのは、インプラントではなく被せ物である」という言葉です。つまり、患者さんが望んでいるのは単純にしっかり噛める歯なのです。

歯科医師の中には、インプラントを含めた外科処置が好きで、必要のない治療や、あえて難しい治療に挑戦しようとする人もいます。そのような治療をしてしまうと、治療期間が大幅に伸びるだけでなく、患者さんへの経済的負担も増加し、治療後の痛みや腫れも大きなものになります。

患者さんは、ドクターの自己満足を満たすために存在するのではありません。

物事を突き詰めると最終的には「シンプル」なものになります。

しかし、経験の浅い人が最初からシンプルに行き着くことはできません。すべてを知り尽くした専門医だからこそ、無駄を排除した「シンプルな治療」に行き着くことができるのです。

切らない・縫わない・腫れない「フラップレス治療」

シンプル・インプラントを体現する治療法のひとつが「フラップレス(無切開)治療」です。一般的に行われている「歯茎の切開」を行わず、小さな穴を開けてインプラントを的確に埋入する方法になります。

通常の方法では、「歯茎を切開」するので、処置後の「縫合」が必要となり処置時間が長くなります。また、身体へのダメージがありますので、治療後の「痛み・腫れ」の原因となります。

しかしフラップレスでは、歯茎を切開しないため縫合の必要もなく、治療後の痛みや腫れを最小限に抑え、10分程度の短時間で処置が完了します。

「一般的な方法」と「フラップレス」の比較

一般的な方法
一般的な方法
フラップレス
フラップレス
歯茎の切開必要不要
処置後の縫合必要不要
痛みある少ない
腫れある少ない
処置時間比較的長い10分程度

※ただし、歯周病などで顎の骨が極度に不足している場合は、安全のために骨を補う処置(切開を伴う骨造成など)が必要となるケースがあります。

一生噛める歯を支える「専門医の技術と設備」

シンプルで負担の少ない治療を安全に行うためには、術者の高度な技術と、それを支える精密な設備、そして各分野のプロフェッショナルとの連携が不可欠です。当院が誇る医療体制をご紹介します。

2000症例以上の実績/インストラクターの院長が必ず担当

学会

当院のインプラント治療は、世界で多くの経験を積み、現在ではドクター向けのインストラクターも務める院長が必ず担当します。国際インプラント学会(ADIA)フェローシップ認定医など、厳しい要件をクリアした専門医の技術をご提供します。

担当ドクター:院長 高橋 由

院長

  • 国際インプラント学会認定医
  • Camlogインプラント公認インストラクター
  • Biohorizonsインプラントインストラクター
  • ミシガン大学(Advanced Periodontal / Implant Surgery A Practical Training Course)修了
  • ハーバード大学(Ivy League Esthetics & Implants)修了
  • ニューヨーク大学(Current Concepts in American Dentistry : Advances in Implantology and Oral Rehabilitation)修了
  • ペンシルバニア大学(Advaneces In Periodontics and Implant Surgery)修了
  • ウィーン大学(Implant Surgery A Practical Training Course)修了
  • FIDI (field implant dentistry institute)修了
  • CSTPC(consolation and sequential treatment planning course)最優秀賞にて修了
  • cert
  • cert
  • cert
  • cert
  • cert

院長の経歴詳細は、院長・スタッフ紹介ページをご覧ください。

歯科技工士:上原 芳樹 氏

歯科技工士

  • 有限会社ファイン 代表取締役
  • 新大阪歯科技工士専門学校 専攻科 非常勤講師
  • 大阪SJCDテクニシャンコース ディレクター
  • ジンマーデンタル社 公認インストラクター

【著書/論文等】

  • 「Exzellente Dentale Asthetik」 Quintessenz Zahntechnik Januar / 2004 April / 2004
  • 「イミディエートインプラントロジー」 林揚春、武田孝之 編著/共著 2007 ゼニス出版
  • 「スプラインインプラントシステム臨床マニュアル」 共著 2007 クインテッセンス出版
  • 前歯部インプラント審美補綴のための技工実践講座 「プロビジョナルレストレーションの有効活用」 ゼニス出版
  • 「多数歯抜歯即時埋入インプラントの臨床」 林揚春 共著 2007 ゼニス出版
  • 前歯部インプラントの埋入ポジションと補綴形態「生体との調和と審美性の共存」 2007 ゼニス出版
  • 「QDT」別冊 「システム別にみるCAD/CAMオールセラミック修復 圧成形型セラミックス Empress/Empress 2」
  • 「歯科技工」別冊 「Chairside & Laboside ラミネートベニアテクニック」
  • オールセラミックスシステム(IPS Empress)を用いたラミネートベニア修復 南昌宏 共著
  • 「デンタルカラーマネージメント 十人十色」 デンタルダイヤモンド社
  • 臨床コラム 臨床にデジタル画像を活用しよう/デジタル画像を技工物に活かす
  • ヒョーロン月刊誌 「日本歯科評論」 2003/4月号

歯科医師と技工士を結ぶ「リアルタイム情報共有システム」

リアルタイム情報共有システム

インプラント治療は歯科医師と歯科技工士が連携して行います。

一般的には、歯科医師が指示書を作成し、それに基づいて歯科技工士が被せ物を作成するのですが、当院ではそのようなスタイルをとっていません。

なぜなら、このスタイルは歯科医師側の独りよがりなものになってしまう可能性があるためです。

当院ではリアルタイム情報共有システムを利用し、歯科医師と歯科技工士が同じ画面を見ながら共に診査診断を行い、治療計画を立案します。

被せ物を製作する技工士(上原氏)も他院のプロを指導する公認インストラクターです。それぞれのプロが意見を出し合うことで、バランスの取れた治療計画が作製できます。

シンプルな治療を可能にする精密機器とオペ環境

CTデータに基づく診査診断

当院では、安全性と治療の確実性を高めるため、以下のシステムを導入しています。

高精度な3D(三次元)CT

従来のレントゲンでは見えない神経や血管の位置をミリ単位で正確に把握し、安全な治療計画を立てます。

3D CT

ガイデッドサージェリーシステム

CTデータをもとに、インプラントを正しく埋め込む「位置・角度・深さ」を反映した専用のマウスピースを作製します。手術時にこれを装着することで、事前のシミュレーション通りにズレのない的確なオペが可能になります。

  • ガイデッドサージェリーシステム
  • ガイデッドサージェリーシステム

これらを活用することで「切開を最小限にする」「手術時間を短縮する」「骨の少ない難症例にも対応できる」ことが可能になり、結果として患者様の痛みや身体的負担を大きく軽減します。

歯科用顕微鏡「マイクロスコープ」の利用

マイクロスコープ

精密な治療を行うため、当院ではマイクロスコープという機器を利用します。ドイツ・カールツァイス製の最上位機種を使用し、肉眼の最大20倍に視野を拡大して精密な処置を行います。

比較

オペ室の衛生管理体制の徹底

オペ室

インプラントは外科手術を伴うため、通常の歯科治療以上に「感染防止」の環境づくりが欠かせません。当院では「専用の個室オペ室」を完備し、空間だけでなく使用する機器にも世界最高水準の滅菌システムを導入しています。

  • ヨーロッパ基準をクリアしたクラスB滅菌器「DACプロフェッショナル」
  • ドイツ・KAVO社製のハンドピース(歯を削る機器)専用洗浄装置「クワトロケア」
  • 治療に使用する器具を最大93℃の熱水で消毒する「ミーレジェットウォッシャー」

これらを完備し、万全の感染対策で治療に臨みます。

  • 滅菌機器
  • 滅菌機器
  • 滅菌機器

総入れ歯の方、歯がほぼない方へ「All-on-4(6)」

ここまで1〜2本の歯を失った方向けの「シンプル・インプラント」についてお話ししてきましたが、多くの歯を失ってしまった方や総入れ歯でお悩みの方には、別のアプローチである「All-on-4(6)」という特別な治療法をご用意しています。

当院で行っている「All-on-4(6)」を利用することで、4本~6本のインプラントを埋め込むだけで、総入れ歯よりも安定し、しっかり噛める歯ができあがります。

All-on-4(6)
All-on-4(6)の特長
  • 従来よりも費用を大幅に抑えられる
  • 肉体的負担が大幅に軽減
  • 治療日に歯が入ります
  • 従来よりも痛みや腫れなどが出にくい

総入れ歯の不具合で悩まれている方、部分入れ歯だけれどもAll-on-4(6)にして快適な生活を営みたい方、ほとんど歯が残っていない方、まずはご相談ください。

「ニューヨークスタイル」の歯のメンテナンス

オペ

「インプラントは生涯使い続けられる」というのは正しい認識ではありません。メンテナンスを怠ると「インプラント周囲炎(歯周病のような症状)」になり、抜け落ちてしまう可能性があるためです。

当院では欧米の高い教育プログラムを受けた歯科衛生士が、患者様一人ひとりに担当につき、メンテナンスを行います。南カリフォルニア大学(USC)の衛生士コースを修了し、海外の予防歯科を学んだ歯科衛生士も在籍しております。

修了証

この徹底した管理により、当院で定期メンテナンスを続けている患者様において、これまでトラブルが起きたケースはほとんどありません。あなたの大切な歯を生涯にわたって守り抜きますので、どうぞ安心してお任せください。

万が一にも備える「安心の保証制度」

保証期間

インプラントは一度装着すると、長期間にわたりご自身の体の一部として使用していくものです。私たちは、患者様が安心してインプラントをお使いいただけるよう、しっかりとした保証制度を整えています。

当院のインプラント治療には、治療内容に応じて5年から10年の医院独自の保証を設けております。大手保証会社様よりお手頃な価格でご用意させていただいておりますので、どうぞお気軽にご相談ください。

治療症例と実際の費用

実際に当院でインプラント治療を受けられた、同年代の患者様の症例をご紹介します。「自分と似たケースはあるか」「どのくらいの期間と費用がかかるのか」、ぜひ参考になさってください。

  • 治療前
  • 治療後

年代・性別:50代 女性 お悩み:前歯が取れた
治療期間:6ヶ月 費用目安:約90万円

  • 治療前
  • 治療後

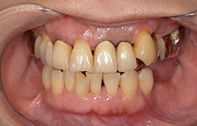
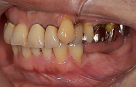
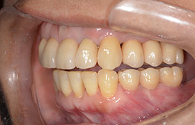
年代・性別:60代 女性 お悩み:奥歯で噛めない/噛めるようになりたい
治療期間:3年 費用目安:400万円(矯正治療込み)

  • 治療前
  • 治療後

年代・性別:60代 女性 お悩み:奥歯で噛めない/噛めるようになりたい
治療期間:3年 費用目安:400万円(矯正治療込み)

インプラント治療の流れ

STEP1初診・カウンセリング

初診・カウンセリング

まずは患者様のお悩みや、「痛いのが怖い」「費用が心配」といった不安をじっくりとお伺いします。どんな些細なことでも構いません。当院では無理に治療を勧めることは決してありませんので、まずはリラックスしてお話しをお聞かせください。

STEP2精密検査・診断

精密検査・診断

お口の状態を正確に把握するために、CTやレントゲンを用いた精密な検査を行います。

検査によって、治療方針や骨造成が必要かといった治療方針が明確になります。

検査の結果、インプラントが適さないと判断された場合には、患者様の状態に応じて、他の治療法をご提案させていただきます。

STEP3治療計画のご説明

治療計画のご説明

CTデータをもとに、歯科医師と歯科技工士が連携し、あなたにとってベストな治療計画(シミュレーション)を立案します。

インプラントのメリットだけでなく、リスクや明確な費用、治療期間までを包み隠さず丁寧にご説明し、ご納得いただいてから次のステップへ進みます。

STEP4虫歯・歯周病の事前治療

虫歯・歯周病の事前治療

もし虫歯や歯周病がある状態でインプラントを入れると、感染のリスクが高まります。手術を安全かつ確実なものにするため、まずは必要に応じてお口全体のクリーニングや事前治療を優先して行います。

STEP5インプラント手術

インプラント手術

いよいよインプラントの埋入手術を行います。術式や本数にもよりますが、1〜2本程度であれば約1時間、お昼休み中に完了するケースもあります。

また「笑気麻酔」や「睡眠麻酔」を使用し、痛みや恐怖心を感じないうちに手術を終えることが可能です。

STEP6治癒期間(骨との結合)

治癒期間

インプラント(人工歯根)がご自身のあごの骨としっかりと結合するまで、手術後は、通常1〜3ヶ月程度の治癒期間を設けます。

STEP7上部構造(人工歯)の装着

上部構造の装着

インプラントと骨がしっかり結合したことを確認後、人工の歯(上部構造)を被せます。

装着後は、噛み合わせのバランスを細かく調整し、問題がなければこれでインプラント治療は完了です。

STEP8期的なメンテナンス

期的なメンテナンス

インプラントを長期間にわたって快適に使い続けるためには、定期的なメンテナンスがとても大切です。

インプラントは虫歯にはなりませんが「インプラント周囲炎」と呼ばれる歯周病に似た炎症が起こることがあるからです

担当衛生士と共に、定期的なチェックとクリーニングで予防していきましょう

医院選びでお悩みの方へ、担当医からのメッセージ

院長

「どこでインプラント治療をすればいいの?」

多くのホームページを見て、最終的に行き着く問題だと思います。

多くの実績や最新の設備が載っており、どの医院もしっかり治療しているように見えます。

しかし、どのような最新機材を取り入れたとしても、オペを行うドクターの技術・経験、そして「想い」が不足していれば、満足いただけるインプラントはできないと私は考えます。

それを知るには、「直接ドクターと話し、人間性を知る」ことしかありません。

患者様のお口や体の状態、ご希望を把握したうえで、どのような選択肢があるのか、そのメリット・デメリットをしっかり説明した上で、最終的な判断は患者様に任せる。

この姿勢があるかどうかが「信頼できる医院」の1つの基準だと思います。

初診「個別」相談へのご案内

当院では、患者さんが抱えていらっしゃるお口のお悩みや疑問・不安などにお応えする機会を設けております。どんなことでも構いませんので、私達にお話ししていただけたらと思います。ご興味がある方は下記からお問い合わせください。

web予約

電話での問い合わせ

tel.042-512-7643

医院の住所

〒190-0012
東京都立川市曙町2丁目8−29 村野ビル2F

料金体系

料金体系は料金表をご参照ください。

このページの先頭に戻る